Τι είναι το άνω υπογάστριο πλέγμα
Το άνω υπογάστριο πλέγμα εδράζεται μπροστά από το σώμα και το μεσοσπονδύλιο δίσκο του πέμπτου οσφυϊκού σπονδύλου. Αποτελεί ενδιάμεσο σταθμό επεξεργασίας μηνυμάτων από τα όργανα της πυέλου, τα γεννητικά όργανα και το περίνεο.
Που ενδείκνυται θεραπευτικά ο αποκλεισμός του άνω υπογάστριου πλέγματος
Ο αποκλεισμός του πλέγματος ενδείκνυται για την διαχείριση του χρόνιου πυελικού άλγους, όπως είναι το άλγος από παθήσεις της ουροδόχου κύστη, από ενδομητρίωση, από καρκινική νόσο της ουροδόχου κύστης, του ορθού, των ωοθηκών και των όρχεων.
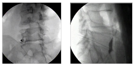
Ποια είναι η διαδικασία αποκλεισμού του υπογαστρίου πλέγματος
Υπάρχουν δύο διαφορετικές προσπελάσεις για τον αποκλεισμό του άνω υπογαστρίου πλέγματος.
Με τον ασθενή σε πρηνή θέση και υπό ακτινοσκοπικό έλεγχο, στην πρώτη προσπέλαση η βελόνα προωθείται εκατέρωθεν από το κατώτερο πλάγιο τμήμα του Ο5 σπονδύλου και το άκρο της φθάνει ακριβώς μπροστά από τον Ο5 σπόνδυλο, ενώ στη δεύτερη προσπέλαση, η βελόνα φθάνει μπροστά από τον σπόνδυλο , περνώντας μέσα από το μεσοσπονδύλιο δίσκο του Ο5-Ι1 διαστήματος.
Αμέσως μετά άφιξη της βελόνας στο σημείο-στόχο, δίνεται σκιαγραφική ουσία και ακολουθεί η χορήγηση του αναισθητικού διαλύματος. Επί επιτυχούς αποκλεισμού, ο ασθενής υποβάλλεται σε δεύτερο χρόνο σε θεραπεία με ραδιοσυχνότητες, το αποτέλεσμα της οποίας διαρκεί πάνω από ένα έτος συνήθως. Η καταστροφή του γαγγλίου μπορεί να γίνει και με έγχυση νευρολυτικών παραγόντων, όπως η αλκοόλη και η φαινόλη.

Ποιοι είναι οι πιθανοί κίνδυνοι και οι επιπλοκές
Οι συνήθεις επιπλοκές αφορούν σε κάκωση αγγειακών ή νευρικών δομών, κατακράτηση υγρών, διαταραχές στη λειτουργία του εντέρου, κεφαλαλγία, αιμάτωμα στην περιοχή και μόλυνση.
