Τι είναι το γάγγλιο της ραχιαίας ρίζας (Dorsal root ganglion)
Το γάγγλιο της ραχιαίας ρίζας (DRG) είναι ένα σύμπλεγμα νευρώνων στην ραχιαία- οπίσθια ρίζα των νωτιαίων νεύρων , υπεύθυνο για τη μετάδοση αισθητικών ερεθισμάτων από την περιφέρεια προς τον νωτιαίο μυελό και τον εγκέφαλο. Ουσιαστικά αποτελεί ένα ενδιάμεσο σταθμό μεταφοράς μηνυμάτων από το περιφερικό προς το κεντρικό νευρικό σύστημα. Οι άξονες των γαγγλιακών νευρώνων της ραχιαίας ρίζας είναι γνωστοί ως προσαγωγοί. Στο περιφερικό νευρικό σύστημα , οι προσαγωγοί νευρώνες είναι οι άξονες που μεταδίδουν τις αισθητηριακές πληροφορίες προς το κεντρικό νευρικό σύστημα. Η διέγερση του ραχιαίου γαγγλίου μπορεί να τροποποιήσει την αντίληψη των επώδυνων μηνυμάτων.
Σε ποιους ασθενείς απευθύνεται η διέγερση του γαγγλίου της ραχιαίας ρίζας
Η μέθοδος ενδείκνυται για ασθενείς με σύμπλοκο περιοχικό σύνδρομο πόνου (CRPS), όπου συχνά οι λοιπές θεραπείες αδυνατούν να δώσουν λύση.
Ποια είναι η θεραπευτική διαδικασία
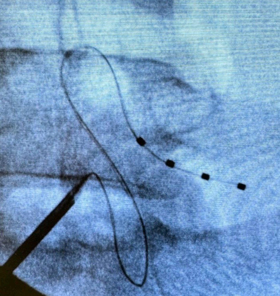
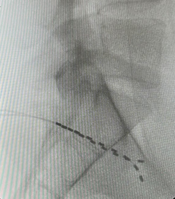
Η τεχνική της διέγερσης του DRG είναι σχεδόν πανομοιότυπη με τη τεχνική διέγερσης του νωτιαίου μυελού. Ωστόσο, στόχο της νευροδιέγερσης εδώ αποτελεί το συγκεκριμένο γάγγλιο και όχι ο νωτιαίος μυελός. Τα γάγγλια της ραχιαίας ρίζας βρίσκονται στα μεσοσπονδύλια τρήματα.
Η διέγερση του DRG αφορά στην εμφύτευση ηλεκτροδίου που στέλνει ηλεκτρικά ερεθίσματα στη συγκεκριμένη περιοχή. Οι ώσεις αυτές διακόπτουν τη μετάδοση των σημάτων πόνου από το περιφερικό προς το κεντρικό νευρικό νευρικό σύστημα. Με απλά λόγια, η διέγερση του γαγγλίου τροποποιεί την αντίληψη του πόνου. Πριν την τελική εμφύτευση του ή των ηλεκτροδίων και τη σύνδεση αυτών με τη γεννήτρια, προηγείται διάστημα δοκιμαστικής διέγερσης με φορητή, εξωτερική γεννήτρια.

