Τι είναι η αυχενοϊνιακή κεφαλαλγία

Η αυχενοϊνιακή κεφαλαλγία χαρακτηρίζεται από ομόπλευρα ή αμφοτερόπλευρα συμπτώματα πόνου που προέρχονται από την αυχενική μοίρα της σπονδυλικής στήλης και ακτινοβολούν στο κάτω τμήμα του κρανίου και συχνά στο βρέγμα και στα μάτια. Συχνά συνυπάρχει επώδυνος περιορισμός στις κινήσεις του αυχένα, δυσκαμψία και ήπια ζάλη κατά τις κινήσεις της κεφαλής. Η μηχανική πίεση στη βάση του κρανίου και στους μύες του αυχένα χειροτερεύει τον πόνο. Συχνά ανευρίσκονται και ψηλαφητοί κόμποι (trigger points) στους μύες, ιδιαίτερα επώδυνοι στην ψηλάφηση.
Ποια είναι η νεύρωση του δέρματος της ινιακής και της ανώτερης αυχενικής χώρας
Τα νεύρα που νευρώνουν την ινιακή και την ανώτερη αυχενική χώρα είναι κλάδοι της δεύτερης και τρίτης αυχενικής νωτιαίας ρίζας. Πρόκειται για το μείζον και έλασσον ινιακό νεύρο και το τρίτο ινιακό νεύρο. Τ α νεύρα αυτά συνδέονται λειτουργικά με το τρίδυμο νεύρο και για το λόγο αυτό συχνά ο πόνος ακτινοβολεί στο μέτωπο, στα μάτια ή πίσω από τα μάτια. Μερικές φορές ο πόνος έχει σφύζοντα χαρακτήρα, λόγω γειτνίασης του μείζονος ινιακού νεύρου με την ινιακή αρτηρία.
Ποια είναι τα χαρακτηριστικά σημεία και συμπτώματα
- αυξημένη ευαισθησία ή και υπεραλγησία στην περιοχή
- μειωμένο εύρος κίνησης του αυχένα
- θολή όραση
- ναυτία, τάση εμέτου
- πόνος με σφύζοντα χαρακτήρα
- σπασμός και επώδυνοι κόμποι στους μύες του αυχένα
Ποια είναι τα αίτια της αυχενοϊνιακής κεφαλαλγίας
Η πάθηση μπορεί να εμφανισθεί αυτόματα ή μετά από τραυματισμό ή παγίδευση των ινιακών νεύρων. Η κακή στάση σώματος, η κακή θέση ύπνου, οι επαναλαμβανόμενες καθημερινές κινήσεις του αυχένα, η έκθεση σε ψύχος, το έντονο stress δύναται να επάγουν τάση και σπασμό των υπϊνιακών και ανώτερων αυχενικών μυών, γεγονός που μπορεί να παγιδεύσει και να τραυματίσει τα νεύρα στην πορεία τους προς τη βάση του κρανίου. Η σπονδυλοαρθρίτιδα της αυχενικής μοίρας, οι κακώσεις του αυχένα δίκην "μαστιγίου" και οι χειρουργικές παρεμβάσεις στην περιοχή αποτελούν επίσης λόγους τραυματισμού των συγκεκριμένων νεύρων.
Ποια είναι η κατάλληλη θεραπευτική προσέγγιση
- Φαρμακοθεραπεία
- Φυσικοθεραπεία και θεραπευτική άσκηση
- Βελονισμός
- Προλοθεραπεία
- Εγχύσεις στα trigger points (σημεία πυροδότησης)
- Εγχύσεις bottox στους αυχενικούς μύες
- Εγχύσεις και νευρικό block των αρθρώσεων της ανώτερης ΑΜΣΣ
- Φαρμακευτικός αποκλεισμός και νευρόλυση των ινιακών νεύρων με χρήση θερμοπηξίας ή κρυοπηξίας
- Νευροδιέγερση του μείζονος ινιακού νεύρου
Τι είναι οι εγχύσεις στα σημεία πυροδότησης (Trigger Points)
Τα σημεία πυροδότησης πόνου ή σημεία trigger είναι σφιχτοί, επώδυνοι «κόμποι» των μυών, οφειλόμενοι σε επίμονη εντοπισμένη μυϊκή σύσπαση. Τα επώδυνα αυτά σημεία αναπτύσσονται συχνά στα πλαίσια του συνδρόμου μυοπεριτονιακού πόνου, το οποίο αφορά σε ανάπτυξη φλεγμονώδους αντίδρασης της εν τω βάθει περιτονίας που περιβάλλει τους μύες. Η φλεγμονώδης αυτή αντίδραση είναι αποτέλεσμα επαναλαμβανόμενου τραυματισμού ή οξέος τραύματος. Η έγχυση τοπικού αναισθητικού στα σημεία αυτά μπορεί να μειώσει τον πόνο και να αυξήσει το εύρος της κίνησης. Ο βελονισμός μπορεί να βοηθήσει συνεργικά στην χαλάρωση των μυών που βρίσκονται σε τάση. Η φυσικοθεραπεία στην πορεία με διατάσεις και ασκήσεις ενδυνάμωσης, θα προσφέρει ένα μακροπρόθεσμο θεραπευτικό αποτέλεσμα.
Τι είναι ο αποκλεισμός του Μείζονος Ινιακού νεύρου
Ο φαρμακευτικός αποκλεισμός του μείζονος ινιακού νεύρου με τοπικό αναισθητικό και στεροειδές έχει τόσο διαγνωστική, όσο και θεραπευτική αξία. Γίνεται στη βάση του κρανίου ή στην υπϊνιακή χώρα αντίστοιχα με την πορεία του νεύρου κάτω από υπερηχογραφική καθοδήγηση. Επί επιτυχούς αποτελέσματος ακολουθεί στην πορεία νευρόλυση με χρήση ραδιοσυχνοτήτων ή κρυονευρόλυση, που ως τεχνικές προσφέρουν μακρύ σε διάρκεια θεραπευτικό αποτέλεσμα.

Τι είναι η περιφερική διέγερση των Ινιακών νεύρων
Η περιφερική νευροδιέγερση αφορά σε εμφύτευση υποδόριων ηλεκτροδίων στην περιοχή κατανομής των ινιακών νεύρων. Η τεχνική αποτελεί μια πολύ αποτελεσματική μέδοδο αντιμετώπισης ανθεκτικών μορφών της πάθησης που δεν ανταποκρίνονται σε άλλες λιγότερο παρεμβατικές θεραπείες.

Τι είναι η Προλοθεραπεία
Η προλοθεραπεία είναι μια αναγεννητική θεραπευτική τεχνική, όπου εγχύονται μικρές ποσότητες ερεθιστικού διαλύματος (συνήθως dextrose 5% ή 10%) στο σημείο των επώδυνων και εκφυλισμένων καταφυτικών τενόντων, στις αρθρώσεις και στους συνδέσμους. Αφορά σε μία σειρά διαδοχικών θεραπευτικών συνεδριών ανά 4-6 εβδομάδες , με στόχο την διέγερση της επουλωτικής εξεργασίας. Το διάλυμα που εισάγεται προκαλεί μια φλεγμονώδη απόκριση που ενεργοποιεί τη διαδικασία επούλωσης.
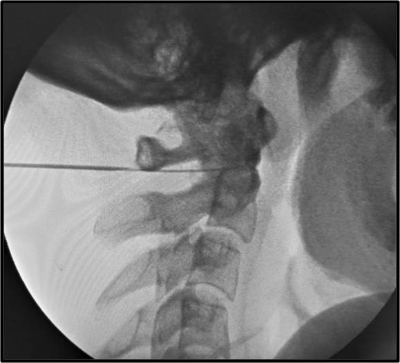
Τι είναι οι εγχύσεις στις αρθρώσεις της ανώτερης αυχενικής μοίρας της σπονδυλικής στήλης
Πρόκειται για την έγχυση μικρής ποσότητας στεροειδούς στην ατλαντοϊνιακή ή στην ατλαντοαξονική άρθρωση της ανώτερης αυχενικής μοίρας κάτω από ακτινοσκοπική καθοδήγηση. Η ανάπτυξη αρθρίτιδας ή ο τραυματισμός των αρθρώσεων αυτών μπορεί να αποτελεί πηγή χρόνιου σοβαρού πόνου στην αυχενοϊνιακή χώρα.

